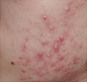
皮肤发炎红肿
痘痘反复生长
形成顽固痘印痘疤痘坑
痘坑痘印需要根据类型来区分,如果不以类型区分,导致轻度痘情过度对待,损伤皮肤造成不可逆伤害,严重性痘坑痘印又因效果不明显,耽误治疗好时机。
红色痘印
黑色痘印
凹洞性痘坑
增生性疤痕
1 台湾Horus赫罗斯皮肤镜,了解痘印痘坑成因、类型及皮肤受损程度。
2 根据痘印痘坑类型制定个性化方案,皮肤受损程度调配细胞修复因子。
3 深层清洁,软化皮肤毛囊角质层,清除毛囊内皮脂堆积物,消炎杀菌。
4 直接杀灭痤疮丙酸杆菌、表皮葡萄球菌,且不会诱导细菌耐药。
5 导入天然中胚美塑精华,特别针对痘坑、痘印等肌肤损伤的修复。
6 细胞氧疗,注入肌肤营养,皮肤白净嫩滑,全面改善肤质肤问题。
详细治疗过程分享
01
医师面诊
制定方案
02
皮肤检测
精准分型
03
光动力治疗
消炎灭菌
04
超声导药
光洁皮肤
05
彩光修复
祛印平坑
06
纳米晶钻
改善肌肤
温馨提示:具体诊疗方案需医生面诊后确定!